AIDEN DENTAL
보다 편한 틀니치료
보철과 교수 출신 전문의의 1:1 맞춤
전체틀니 및 부분 틀니, 임플란트 틀니 제작으로
씹는 맛을 되찾으세요.
"임플란트는 비싸고, 틀니는 불편하세요?"

틀니임플란트는 2~4개의 임플란트를 식립하여 틀니를 지탱할 힘을 보강하는 수술 방법으로
저렴한 비용은 물론 심미성 측면에서도 큰 효과를 누릴 수 있는 합리적인 방법입니다

"임플란트 틀니는 기존 틀니보다 뭐가 좋아요 ?"
임플란트 틀니 기존 틀니
예시
시술방법 약 2~4개의 임플란트 식립 후 고정장치로 연결 잇몸 위에 걸치는 방식으로 제작
씹는힘 자연치아의 약 80~90% 회복 자연치아의 약 30% 회복
고정력 고정되어 빠질 염려 없음 고정이 잘 안되어 쉽게 빠지거나 이물감이 있음
"에이든 틀니의 정교함을 확인하세요"
Case 01
AIDEN DENTAL

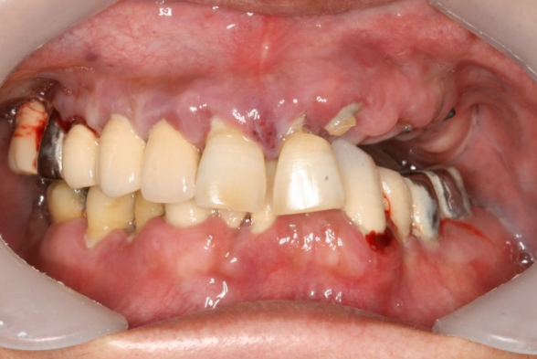
내원 사유
다수의 치아 상실과 잔존치아의 상태 불량
치료 방안
상하악 전체 틀니로 진행
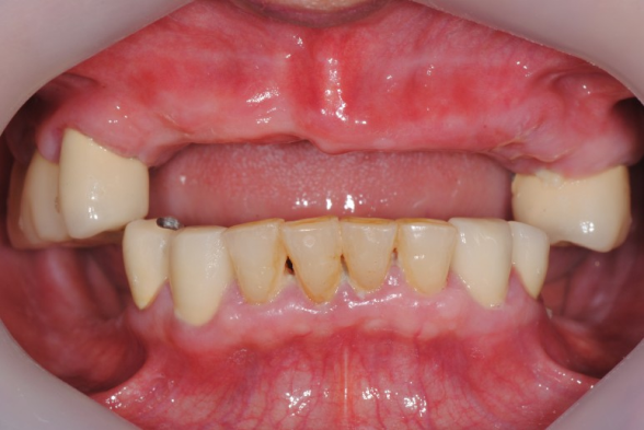
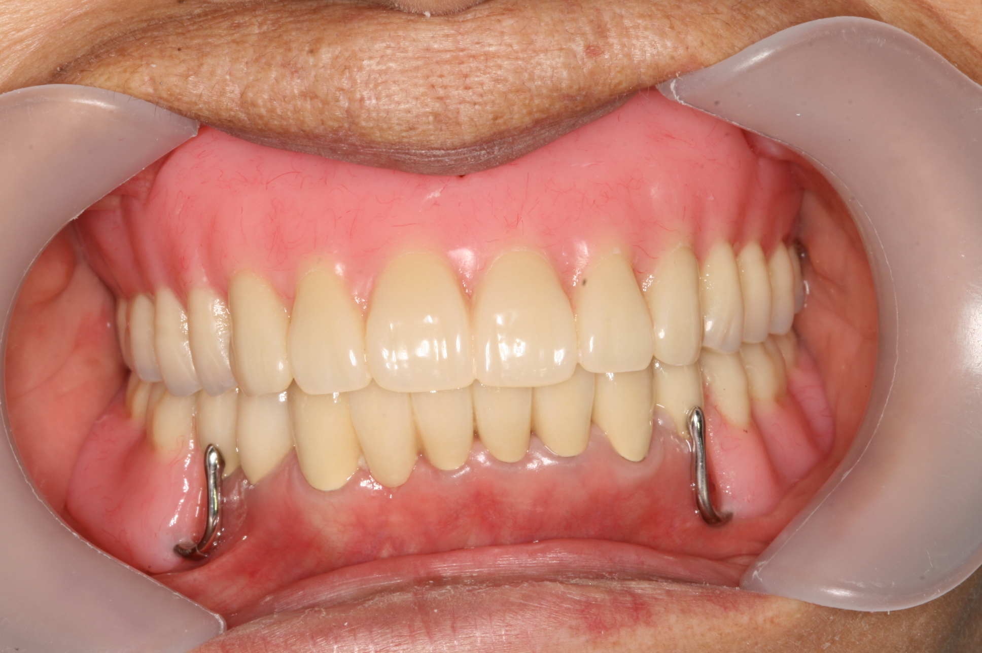
Case 02
AIDEN DENTAL

BEFORE
AFTER
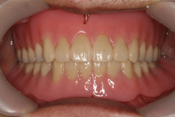
Case 03
AIDEN DENTAL

BEFORE
AFTER
"전체틀니부분틀니 어떤 차이가 있나요?"
전체 틀니
치아를 모두 상실했거나 남아있는 치아들이 제 기능을 할 수 없는 경우
  • 수술과 비용 부담을 줄이고 전체 이의 기능을 회복할 수 있습니다
  • 임플란트가 불가능한 상태기저질환이 있을 때 대안이 됩니다
  • 틀니를 낌으로써 입술 부분의 꺼짐을 보완할 수 있습니다
  • 잇몸이 수축되어 헐거워 질 때마다 수리가 필요합니다
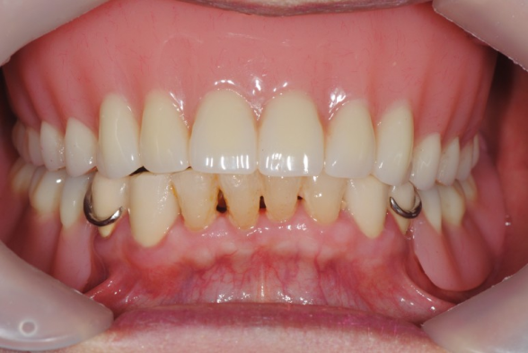
부분 틀니
3개 이상의 연속된 치아를 상실했을 때 주변 치아가 양호한 경우
  • 수술과 비용부담을 줄이고 상실한 치아의 기능을 회복할 수 있습니다
  • 주로 양호한 치아에 고리를 걸어 착용합니다
  • 전체 틀니에 비해 이물감이 적고 착용감과 유지력이 좋습니다
  • 고리를 거는 치아를 뽑게 될 경우 새로 제작이 필요합니다
알고 계신가요?
"틀니도 의료보험이 된다는 사실 !"
2017년 11월부터 만 65세 이상 부분틀니 및 전체틀니 건강보험 70% 적용!
틀니의 본인부담금이 30%로 줄어들었습니다
전체틀니
적용대상
윗니 또는 아랫니가
모두 없는
전체 무치악 환자
적용가능 종류
레진상/금속상
전체틀니
적용주기
1악당
7년 1회
부분틀니
적용대상
윗니 또는 아랫니가
일부 없는
부분 무치악 환자
적용가능 종류
고리 유지형
금속상 부분틀니
적용주기
1악당
7년 1회
보험임플란트와 중복 적용이 가능하니 걱정마세요 !
"에이든 틀니의 정교함을 확인하세요"
Case 01
AIDEN DENTAL

BEFORE
AFTER
Case 02
AIDEN DENTAL

BEFORE
AFTER
Case 03
AIDEN DENTAL

BEFORE
AFTER
Case 04
AIDEN DENTAL

BEFORE
AFTER
Case 05
AIDEN DENTAL

BEFORE
AFTER