AIDEN DENTAL
미소에 자신감을 찾는 심미치료
강남에이든치과의 심미치료는 건강한 아름다움을 원칙으로
미소의 아름다움을 찾아드립니다.
개개인의 맞춤진료를 통해 사후관리까지 도와드리겠습니다.
에이든 라미네이트의 가치 01
라미네이트는 치과 보철 치료입니다
치과 보철 전문의의 진료를 받으시길
권장드립니다
치과 보철이란 구강내 결손된 치아 또는 조직을 복구한다는 뜻으로
일반적인 크라운, 라미네이트, 의치, 임플란트 등을 뜻합니다
대학교수 출신 치과보철과 전문의인 이동인 대표원장님이
처음부터 끝까지 책임지고 진행합니다
에이든 라미네이트의 가치 02
충분한 소통최소 삭제를 통한
최상의 디자인
라미네이트의 첫번째는 환자와의 충분한 소통!
최소삭제를 추구하는 원장의 집념과 최상의 디자인,
이를 실현할 최고품질의 재료와 기공작업이 만나
최선의 결과를 보장합니다
에이든 라미네이트의 가치 03
세계적인 심미기공 전문
Oral Design사와 협업
스위스의 심미보철 전문기공 brand인
Oral desingn사와 협업하여 최상의 보철 치료를 제공합니다
자연치아와 같은 티 안나는 라미네이트를 추구합니다
"에이든 라미네이트의 정갈함을 확인하세요"
Case 01
AIDEN DENTAL

내원 사유
상악 측절치의 변색(좌측)
+왜소치(우측)
치료 방안
보철치료를 통하여 회복
Case 02
AIDEN DENTAL

내원 사유
전치부 치아 사이 공간(심미적 사유)
치료 방안
라미네이트를 통한 치료
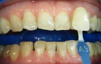
"하루 안에 빠르게"
원데이 명품 치아 미백

하루 안에
시림 없이
손상 없이
원장 진료
에이든 미백의 가치 01
시리지 않는 안전한 미백 치료
식약청에서 허가받은 안전한 재료인
트리니티 시스템오스템 BeuTis를 사용하여
남녀노소 누구나에게 안전한,
이 건강을 생각하는 미백치료를 진행합니다
이시림 및 치아 손상의 부작용 없이 안전한 결과를 얻을 수 있습니다
에이든 미백의 가치 02
환자 개개인에 맞는
맞춤 계획 및 술후 관리
미백 시술 후 치아 표면 재광화를 유도하여
더욱 안전하고 오래 지속되는 효과를 유도합니다
또한 구강내 보철 상태 및 치아 상태에 따른
맞춤형 미백 치료를 계획합니다
"에이든 미백의 화사함을 확인하세요"
Case 01
AIDEN DENTAL

BEFORE
AFTER